妊娠4週目ってどんな時期?
生理がこない、基礎体温が上がったままで妊娠に気づき始める
市販されている多くの妊娠検査薬の使用期間は、生理予定日の1週間後を推奨しているので、妊娠4週の最後の頃、5週目に入る頃には検査で陽性反応が出る可能性が高くなってきます。
この時期の赤ちゃんは「胎芽」と呼ばれる時期で、目では確認できない大きさです。赤ちゃんを包む胎嚢という袋が見え始めることもありますが、はっきりとは識別できないことも多いです。
出典:feature.cozre.jp妊娠4週目は、予定していたはずの生理が来ない、基礎体温が上がったままといった妊娠の兆候が見られる時期で、このタイミングで産婦人科を訪れる人もいます。
詳しくはこちらの記事をごらんください。
みんなの妊娠4週目のエコー写真をご紹介します。
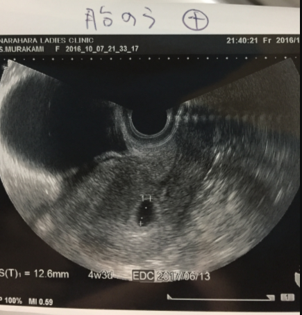
4週0日(4w0d・女の子)|hahyhah さん(27歳)

エコー写真撮影時のエピソード:
はじめてのエコー写真。
まだ心拍も確認出来ていないけど、胎嚢が確認出来た。 しっかりと妊娠が確認出来て一安心。
つわりもほとんどなくて、全然しんどくなかった。その後のエコーではなかなか顔を見せてくれなかったけど、よく動いて自分をアピールしているみたいだった。
4週0日(4w0d・男の子)|ちゃい☆☆さん(25歳)

エコー写真撮影時のエピソード:
妊活をしてやっと妊娠を確認できた!!という一枚です。寒がりのわたしが常に身体が熱く、眠気がすごかった。体が変化しているので産婦人科で検査してもらい車の中でエコー写真をすぐに旦那に送った。飛び跳ねて喜び、まだまだ分かるはずがないのに、男?女?と聞いてきたのが懐かしい。
4週3日(4w3d・男の子)|さぁーや さん(32歳)

エコー写真撮影時のエピソード:
初めての赤ちゃんで、エコーを見に行くたびに旦那も一緒に行きました。その産院はUSBメモリーにエコーをすべて入れてくれて動画で残すことができました。
妊娠中期に性別がわかり、元気な男の子でした。いつも両手を顔の横で曲げて写っていて、産まれてからもよくそのポーズをしていたので、この子がお腹にいたんだなぁって実感が湧きました。
4週3日(4w3d・男の子)|みら20181101さん(36歳)

エコー写真撮影時のエピソード:
不妊治療をしてようやく授かって産院に移ってからのはじめてのエコー写真です!不妊治療の病院では毎週エコーをとっていたけれど産院に移ってから1ヶ月に1回になって毎回毎回不安で不安で祈るような気持ちでパパと一緒に通いました。つわりもひどかったけれど元気で産まれてきてくれて本当にうれしいです!
4週4日(4w4d・女の子)|あいまま さん(24歳)

エコー写真撮影時のエピソード:
1ヵ月生理が来なかったので、市販の検査薬で検査をしたところ+になり、すぐに産婦人科へ。
子どもはいつか欲しかったので、妊娠がわかって嬉しい気持ちがわきました。一方で、ちょうど仕事も脂が乗り始めて楽しくなってきた時期だったので、どうしようという気持ちが入り交じりながら診察を待っていたのを覚えています。
産むと決めてからは、ぎりぎりまで仕事しながらも楽しくマタニティーライフを送ることが出来ました。 楽しみと不安がありながら、出産を迎え、今ではわが子に対して「生まれてきてくれてありがとう」という感謝しかありません。
まとめ
みなさんにお寄せいただいた妊娠4週目のエコー写真とエピソードをご紹介しました。
妊娠が発覚して初めて撮るエコー写真が妊娠4週目という方が多いようです。まだ心拍は確認できないですが、胎嚢が見えてホッとしたという方もいらっしゃいました。
みなさんのエピソードからも妊娠発覚の驚きや喜びが感じられます。これからどんな妊娠生活を送るのか、赤ちゃんとの生活はどんなものなのか不安なこともありますが、しっかりと健診を受けて、情報をとりいれて過ごしていきたいですね。
※掲載する写真は個人情報などを含む場合、一部加工させていただいております
・掲載内容や連絡先等は、現在と異なる場合があります。
・表示価格は、改正前の消費税率で掲載されている場合があります。ご了承ください。